El peligroso motivo por el que no debes taparte la nariz y la boca al estornudar y otras curiosidades
Un hombre sufrió una fractura de garganta al hacerlo, por lo que se recomienda no impedir la salida del aire
ABC.ES
El estornudo es un reflejo con el que el organismo limpia las vías aéreas. Los investigadores han averiguado que se produce por los motivos más variopintos, y se sabe que resulta prácticamente imparable: cuando una persona estornuda, el aire expulsado puede salir a una ... velocidad de 70 a 130 kilómetros por hora . La lluvia de saliva resultante, es capaz de cubrir un área aproximada de ocho metros cuadrados. Una auténtica bicoca para los gérmenes.
Noticias relacionadas
Cuando algunas personas quieren reprimirlo, se tapan la nariz y la boca en el momento del estornudo. Recientemente, un impactante caso ha llevado a los doctores a publicar un artículo en la revista BMJ Case Reports para avisar de que esta estrategia no es nada recomendable. Un hombre joven que tuvo un estornudo potente y que se tapó la nariz y la boca se rompió la garganta , lo que no solo le produjo mucho dolor, sino que a punto estuvo de dejarle sin habla.
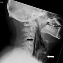
Los investigadores explicaron que un hombre de 34 años acudió a urgencias. Dijo que había notado un crujido después de un potente estornudo reprimido y que su cuello había comenzado a hincharse. El hombre casi había perdido la voz y pudo contar que le resultaba extremadamente doloroso tragar.
Las exploraciones encontraron burbujas de aire en los músculos de la caja torácica, una condición que se llama pseudo mediastino. El paciente fue ingresado en el hospital para recibir antibióticos (y evitar posibles infecciones a causa de las burbujas) y alimentación intravenosa para no tragar. Finalmente, se recuperó después de una semana.
El motivo de sus lesiones está en que la presión generada con el estornudo no pudo liberarse a través de la boca y la nariz. En lugar de eso, la fuerza dañó los tejidos blandos de la garganta. De hecho, rompió la faringe , la cavidad membranosa que une el esófago y la laringe con la boca y la nariz y que funciona como una caja de resonancia para el habla.
Los peligros de impedir un estornudo
A la vista de lo ocurrido, los médicos han alertado en el artículo que «detener un estornudo bloqueando la nariz y la boca a la vez es una maniobra peligrosa que debe ser evitada ». Aunque las lesiones son raras, esta maniobra tiene varias complicaciones bastante peligrosas, como el pseudo mediastino, la perforación del tímpano , el aneurisma cerebral , (la rotura de pequeños vasos sanguíneos del cerebro), lesiones musculares o incluso rotura de costillas .
Además, cuando se impide un estornudo aparece otro efecto secundario: no se expulsa al agente irritante o infeccioso que lo ha provocado. Si además se intenta sorber los mocos, se puede llegar a infectar el oído, tal como explica un artículo publicado en The Cleveland Clinic .
Un acto reflejo
El estornudo es considerado como un acto reflejo que tiene cierto nivel de control consciente . Se cree que tiene dos fases: una inspiratoria espasmódica inicial y una fase respiratoria nasal y oral (en la que no conviene taparse a la vez la boca y la nariz, a la vista del caso explicado antes).
Esta reacción generalmente se produce como respuesta al contacto con gérmenes o por inhalación de productos irritantes. Sin embargo, hay personas que estornudan cuando reciben ciertos estímulos.
El estornudo fótico
Por ejemplo, hasta un 25% de la gente estornuda repetidamente cuando se expone repentinamente a una luz brillant e , incluida la del Sol. Padecen el síndrome «Achoo» , que significa «Autosomal Cholinergic Helio-Ophtalmologic Outburst» (síndrome de estornudos heliooftálmicos compulsivos autosómico dominante), y que tiene un nombre más legible: el estornudo fótico. Es hereditario y puede afectar a más de un miembro de la familia. Por suerte, las gafas polarizadas pueden evitarlo en algunos casos.
Otras personas estornudan después de comer cuando han llenado mucho su estómago. En otros casos, la excitación sexual puede desencadenar este reflejo de forma repetitiva. A veces se produce incluso después del orgasmo tanto en hombres como en mujeres.
El peligroso motivo por el que no debes taparte la nariz y la boca al estornudar y otras curiosidades
Esta funcionalidad es sólo para suscriptores
Suscribete
Esta funcionalidad es sólo para registrados
Iniciar sesiónEsta funcionalidad es sólo para suscriptores
Suscribete