Revelan el atlas de las células en tejidos y órganos que permitirá anticiparse al desarrollo de enfermedades
El Atlas Biomolecular Humano desvela por vez primera información sobre cómo se organizan los tipos de células y cómo interactúan en diferentes tejidos y órganos
Supone un recurso fundamental para estudiar la biología y las enfermedades humanas
El atlas más completo del corazón humano desvela sus secretos más ocultos
El atlas celular más completo desvela los secretos de la salud y la enfermedad humana
Esta funcionalidad es sólo para registrados
Iniciar sesiónLos humanos estamos formados de pequeñas piezas que, pese a ser invisibles a ojo desnudo, son esenciales en todos los seres vivos: las células. Se calcula que tenemos entre 30 y 40 billones de células en nuestro cuerpo de más de 200 tipos ... diferentes repartidas a lo largo de los órganos.
Ahora, por vez primera se publican una serie de artículos científicos en las revistas del Grupo «Nature» y en la revista «Cell Reports» que representan la primera colección de mapas generados por el Programa del Atlas Biomolecular Humano (HuBMAP), un consorcio similar al Proyecto Genoma Humano, que tienen el potencial de avanzar en «nuestra comprensión de las enfermedades, al definir la ubicación espacial de los estados celulares relacionados con las enfermedades», escriben Roser Vento-Tormo y Roser Vilarrasa-Blasi, del Instituto Wellcome Sanger de Londres (Reino Unido) en un artículo en News & Views publicado en «Nature».
Estas herramientas se han utilizado para generar atlas de células de referencia para el intestino humano, el riñón y los tejidos conectados a la placenta. Este es solo el primer paso: en el futuro, los investigadores de HuBMAP continuarán recopilando, analizando y visualizando datos de organización celular para otros órganos humanos sanos, como la vejiga, los ojos, los órganos reproductivos femeninos, el corazón, la rodilla, los pulmones, los ganglios linfáticos, el páncreas, el bazo y el timo.
El primer atlas del pulmón revela similitudes celulares entre el covid y el cáncer
R.I.El primer atlas unicelular integrado del pulmón muestra tipos celulares poco frecuentes y pone de relieve las diferencias celulares entre personas sanas
En los seres humanos, la organización y las interacciones entre las células determinan cómo funcionan los órganos y los tejidos. La iniciativa HuBMAP tiene como objetivo mapear cómo se organizan las células en todo el cuerpo humano para ayudar a los científicos a estudiar cómo funcionan las células y cómo las relaciones entre las células pueden afectar la salud de un individuo. Para lograr esto, el consorcio HuBMAP ha estado desarrollando herramientas que ayudan a armar mapas espaciales de los componentes moleculares de las células, incluyendo ARN, proteínas y metabolitos, dentro de los tejidos y órganos a nivel de células individuales.
Los atlas de tejidos sanos desempeñan un papel vital en la investigación biomédica al servir como una referencia en la que se puede comparar con los tejidos enfermos. Estos atlas pueden ayudar a los científicos a comprender qué ocurre en etapas tempranas de la progresión de la enfermedad. Además, dicho conocimiento puede proporcionar ideas clave para desarrollar tratamientos en etapas tempranas de la enfermedad. El tejido sano rara vez se estudia, lo que hace que el trabajo de HuBMAP sea innovador.
Vecindarios celulares
«Se trata del primer conjunto coordinado de artículos que presenta un serie mapas de células individuales de alta resolución de órganos humanos, incluidas las funciones que se llevan a cabo», señala Michael Snyder, investigador principal de uno de los proyectos de HuBMAP. «Así como construir un motor requiere primero ensamblar partes en componentes funcionales y no simplemente juntar piezas individuales, el trabajo ha descubierto cómo las células individuales en el cuerpo viven y trabajan juntas en lo que llamamos 'vecindarios celulares'. Las ideas proporcionadas por estos descubrimientos representan el primer paso para crear el marco de un atlas tridimensional y funcional significativo de las células en el cuerpo humano».
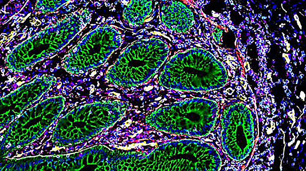
El intestino humano es un órgano complejo con muchas estructuras y funciones diferentes (desde la digestión hasta el apoyo al sistema inmunológico). En uno de los trabajos que se publican hoy en «Nature», los investigadores de la Universidad de Stanford (EE.UU.) analizaron ocho secciones del intestino de nueve individuos, gracias a lo cual hallaron importantes diferencias en la composición celular en las diferentes regiones. Los hallazgos revelan la composición celular compleja y variada que contribuye al funcionamiento de este órgano.
Así, identificaron nuevos subtipos de células epiteliales y descubrieron que diferentes tipos de células forman «vecindarios», algunos de los cuales están específicamente preparados para mediar respuestas inmunológicas.
«Esta es la primera vez que alguien hace un mapa espacial del intestino a nivel de una sola célula», señala Michael Snyder. «Ha sido como explorar un nuevo planeta, en el sentido de que no sabíamos exactamente qué tipos de células encontraríamos ni cómo se organizarían».
«Nuestros mapas están destinados a ser una referencia para un intestino sano, con el que podemos comparar todo, desde la enfermedad del intestino irritable hasta el cáncer de colon en etapa temprana», explica Snyder, algo fundamental para la comprensión de todo tipo de enfermedades digestivas.
Esta es la primera vez que alguien hace un mapa espacial del intestino a nivel de una sola célula
Michael Snyder
Universidad de Stanford
El intestino absorbe los nutrientes de los alimentos y protege el cuerpo de las bacterias, al tiempo que mantiene un equilibrio saludable de las bacterias beneficiosas que ayudan a la digestión. Para realizar estas tareas, emplea una variedad de tipos de células, incluidas las células epiteliales que forman el revestimiento intestinal, las células del tejido conectivo, las células nerviosas y las células inmunitarias. Con los nuevos mapas, los científicos pudieron identificar dónde se encuentra cada tipo de célula y con qué tipo de células se asocian.
Además de crear un atlas para el tejido sano, los nuevos mapas revelaron algunas conexiones clínicas interesantes. Por ejemplo, los investigadores encontraron que los donantes con un índice de masa corporal más alto tenían un número mucho mayor de macrófagos M1, un tipo de célula inmunitaria asociada con la inflamación.
Los donantes con antecedentes de hipertensión también tenían menos células inmunitarias de un tipo diferente, llamadas células T CD8, que desempeñan un papel en la búsqueda y destrucción de posibles células cancerosas.
«Este fue un resultado inesperado pero importante -explican- porque sabemos que el sistema inmunitario desempeña un papel en la prevención del cáncer al eliminar las células malignas. Si tiene menos células T CD8, podría tener un mayor riesgo de cáncer». De hecho, la investigación ha demostrado que los pacientes con hipertensión tienen más probabilidades de desarrollar cáncer colorrectal.
El riñón al descubierto
¿Qué causa que ciertas personas que experimentan una disminución repentina de la función renal desarrollen enfermedad renal mientras que otras se recuperan? Un estudio codirigido por bioingenieros de la Universidad de California-San Diego (EE.UU.) podría proporcionar información detallada, a nivel de células individuales, sobre los factores que contribuyen a estos resultados divergentes.
Los investigadores han diseñado el atlas unicelular más grande del riñón humano hasta la fecha que mapea los estados de las células sanas y enfermas en más de 90 pacientes. El atlas pretende servir como base para comprender mejor la progresión de la enfermedad renal después de una lesión renal aguda, una afección en la que los riñones pierden repentinamente su capacidad para filtrar los desechos de la sangre.
Tras examinar las células en 45 riñones humanos sanos y 48 riñones enfermos, los autores han identificado 51 tipos principales de células en diferentes regiones del riñón. Usando tecnologías de imágenes espaciales, los investigadores pudieron mapear dónde se organizan los diferentes tipos de células en el riñón.
Al construir un atlas de los diferentes tipos de células que componen un riñón sano, así como los riñones lesionados y enfermos, podemos comenzar a determinar qué tipos de células pueden estar contribuyendo a la progresión de la enfermedad. Podemos tener una idea de qué cambios están ocurriendo que hacen que algunos tipos de células dañadas se reparen y, en algunos casos, pasen a un estado que ya no se puede reparar», señala Blue Lake.
También descubrieron que 28 de estos tipos de células se alteran en la lesión renal aguda.
Lo que normalmente sucede cuando las células renales se lesionan es que entran en un estado de reparación en el que hacen nuevas copias de sí mismas, así como también liberan señales que reclutan células inmunitarias y fibroblastos para curar el área lesionada. Posteriormente, vuelven a su estado celular normal
Pero con los tipos de células alteradas, no ocurre un retorno al estado normal, explican. En cambio, se quedan atascados en el estado de reparación. Como resultado, continúan reclutando más células inmunitarias y fibroblastos. Esto provoca inflamación y fibrosis, lo que a su vez provoca la progresión de la enfermedad y la reducción irreversible de las funciones renales.
Los datos permitirán comparar las células renales sanas con las lesionadas por la enfermedad renal
«Estos estados de reparación normalmente son importantes para la curación, pero pueden volverse desadaptativos», detalla Lake. «Si persisten o se estimulan constantemente, eso hará que el riñón continúe en un estado de enfermedad».
Los datos permitirán comparar las células renales sanas con las lesionadas por la enfermedad renal, lo que ayudará a los investigadores a comprender los factores que contribuyen a la progresión de la enfermedad renal y la insuficiencia renal o la recuperación de una lesión.
Los investigadores están diseñando la próxima versión de su atlas renal. Su objetivo es incluir datos de una población más diversa de pacientes.
Placenta
Al principio del embarazo, sucede algo extraño en el útero: las células fetales de la placenta en desarrollo invaden el endometrio uterino y trabajan con el sistema inmunitario de la madre para remodelar las arterias.
Habitualmente, nuestro sistema inmune ataca las células desconocidas, lo que teóricamente representaría un problema para un embarazo en desarrollo. Pero en el lado de la madre de la placenta en crecimiento, las arterias incorporan células que coinciden genéticamente con el embrión, solo uno de varios eventos inusuales en la cooperación única requerida para formar el único órgano humano temporal.
El equipo de Michael Angelo, de la Universidad de Stanford , presenta un mapa de la placenta humana durante la primera mitad del embarazo. Analizaron alrededor de 500.000 células y 588 arterias de 66 muestras de la interfaz materno-fetal humana (donde las células maternas y placentarias cooperan para mantener al feto).
Específicamente, observaron la interfaz entre la placenta y el útero, donde las arterias maternas se remodelan para transportar sangre al feto. Los mapas abarcan diferentes etapas del desarrollo (de 6 a 20 semanas de gestación) e identifican las interacciones entre las células placentarias y las células inmunes; este último descubrimiento arroja luz sobre cómo las células inmunes maternas apoyan la coexistencia de las células maternas y fetales distintas.
Estudiar cómo se forma la placenta es complicado porque las placentas humanas son especialmente invasivas y crecen mucho más profundamente en el útero que en otros mamíferos, escriben en su artículo. El crecimiento excesivo o insuficiente de la placenta en la pared uterina es problemático.
MÁS INFORMACIÓN
Conocer los detalles del desarrollo «perfecto» podría ayudar a los científicos a comprender qué es lo que falla en las complicaciones del embarazo, como la placenta acreta , una placenta demasiado invasiva, que se enrosca demasiado profundamente en el útero y puede causar una hemorragia al nacer; preeclampsia, que se caracteriza por una presión arterial peligrosamente alta al final del embarazo y que los investigadores creen que se origina en una placenta poco invasiva; y abortos espontáneos en los que la placenta no logra establecerse adecuadamente en la pared uterina.
Esta funcionalidad es sólo para suscriptores
Suscribete
Esta funcionalidad es sólo para registrados
Iniciar sesiónEsta funcionalidad es sólo para suscriptores
Suscribete