EDICIÓN GENÉTICA
Células invisibles al sistema inmune acercan una posible cura de la diabetes tipo 1
La capacidad de estas células para evitar el rechazo sin fármacos podría conducir a una terapia celular curativa para la diabetes tipo 1, reduciendo complicaciones y mejorando la calidad de vida de millones de personas
Primera curación de diabetes 1 tras un trasplante de células madre
Esta funcionalidad es sólo para registrados
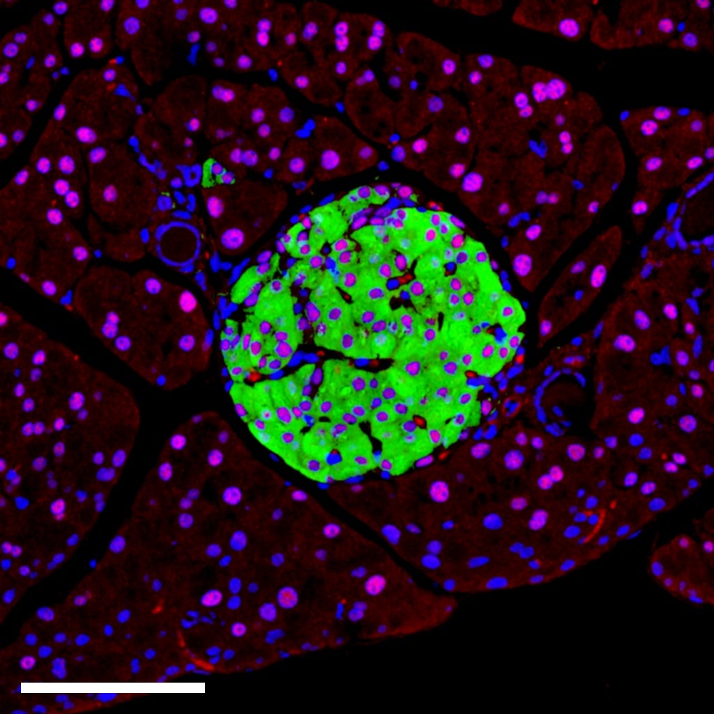
Iniciar sesiónUn innovador tratamiento basada células editadas genéticamente ha demostrado su eficacia en el tratamiento de la diabetes tipo 1 en un pequeño ensayo que acaba de ser publicado en la revista 'The New England Journal of Medicine'. El paciente tratado permaneció 12 semanas sin ... la necesidad de ningún medicamento inmunosupresor para controlar su enfermedad.
En diciembre de 2024, un varón sueco de 42 años con una diabetes tipo 1 de 37 años de evolución recibió 17 inyecciones con unos 80 millones de células beta pancreáticas de donante genéticamente modificadas.
El objetivo de este equipo del Hospital Universitario de Uppsala (Suecia) era lograr que estas células productoras de insulina fueran invisibles al sistema inmunitario, evitando así el uso de fármacos inmunosupresores.
Identifican un gen que podría explicar millones de casos de diabetes
Rafael IbarraEl hallazgo del Centro de Regulación Genómica abre nuevas posibilidades terapéuticas para tratar formas raras de la enfermedad como para la diabetes tipo 2, que hoy padecen unos 600 millones de adultos en el mundo
Las células, procedentes de un páncreas de donante fallecido compatible, fueron aisladas y editadas gracias a las tijeras moleculares CRISPR-Cas12b para eliminar dos genes en concreto- B2M y CIITA- responsables de la expresión de las moléculas HLA-I y HLA-II que provocan rechazo.
Para evitar que fueran rechazadas por el sistema inmunólogico del paciente, las células se modificaron con un vector lentiviral que sobreexpresaba una proteína que envía señales de «no me comas» a las células inmunitarias (CD47). Por último, se reagruparon antes de su trasplante.
No se administraron glucocorticoides, antiinflamatorios ni inmunosupresores.
Ataques durante 84 días
Como era de esperar, el sistema inmunitario atacó con toda su fuerza a las células trasplantadas durante 84 días. Pese a ello, las células modificadas mantuvieron la producción de insulina y mejoraron el control de la glucosa, con injertos viables y sin inflamación.
Aunque el paciente sigue necesitando, la supervivencia y funcionalidad de los injertos sin inmunosupresión se considera un éxito de prueba de concepto. «Trasplantamos el 7 % de la dosis curativa de las células», afirmó a la revista 'Science' Per-Ola Carlsson, líder de la investigación en Upssala. Pero el paciente tampoco necesitó medicamentos inmunosupresores. «En mi opinión, se trata de un gran éxito».
Los investigadores aseguran que la capacidad demostrada de las células para evadir la destrucción inmunitaria sin fármacos sistémicos abre la puerta a una terapia celular potencialmente curativa para la diabetes tipo 1, con la perspectiva de reducir complicaciones y mejorar la calidad de vida de millones de personas.
Comer más de tres raciones de patatas fritas a la semana dispara el riesgo de diabetes tipo 2
R. IbarraLa Universidad de Harvard propone sustituirlas por una guarnición de cereales integrales o tomarlas hervidas o al horno para no elevar la glucosa
No es este el primer enfoque de células madre para curar la diabetes. Un ensayo de Vertex Pharmaceuticals ha logrado que pacientes suspendan la insulina, aunque con inmunosupresión.
Otro trabajo publicado en 'Cell' informó del caso de una mujer de 25 años con diabetes tipo 1 que había logrado producir insulina por sí misma y prescindir de las inyecciones durante más de un año, tras recibir en 2023 un trasplante de islotes pancreáticos generados a partir de células madre reprogramadas de su propio cuerpo. El procedimiento, utilizó células iPS transformadas en islotes e implantadas en los músculos abdominales, lo que permitió su seguimiento por resonancia magnética.
Esta funcionalidad es sólo para suscriptores
Suscribete
Esta funcionalidad es sólo para registrados
Iniciar sesiónEsta funcionalidad es sólo para suscriptores
Suscribete