ESTUDIO ESPAÑOL
Identifican un gen que podría explicar millones de casos de diabetes
El hallazgo del Centro de Regulación Genómica abre nuevas posibilidades terapéuticas para tratar formas raras de la enfermedad como para la diabetes tipo 2, que hoy padecen unos 600 millones de adultos en el mundo
Primera curación de diabetes 1 tras un trasplante de células madre
Esta funcionalidad es sólo para registrados
Iniciar sesiónSegún el último Atlas de la Diabetes (2025) de la Federación Internacional de Diabetes (FID), el 11,1 % de la población adulta entre 20 y 79 años, es decir, 1 de cada 9 adultos, vive con diabetes. Y, lo más preocupante, más del 40 % ... de los casos no están diagnosticados. Además, las proyecciones no parecen halagüeñas: para 2050, aproximadamente 1 de cada 8 adultos, o unos 853 millones de personas, tendrá diabetes, lo que representa un aumento del 46 % respecto a las cifras actuales.
Debido a la complejidad de la diabetes, las terapias existentes tratan de disminuir la cantidad de azúcar en sangre (glucemia) sin corregir los defectos subyacentes.
Ahora, un nuevo estudio llevado a cabo en el Centro de Regulación Genómica (CRG) en Barcelona parece haber hallado una diana terapéutica para abordar no los síntomas, sino lo que desencadena la enfermedad.
La investigación, publicada en la revista 'Cell Metabolism' ha identificado que las mutaciones en un único gen HNF1A, que se sabía que provocan MODY3, una forma rara y de aparición temprana de diabetes, también podría ser una causa de diabetes tipo 2. Así, explican que alteraciones de menor escala en ese mismo gen son frecuentes y, de forma discreta, predisponen a millones de personas a desarrollar diabetes tipo 2
«Las anomalías de ARN que hemos encontrado son subsanables y ofrecen un objetivo claro, algo poco habitual en una enfermedad increíblemente compleja», explica Jorge Ferrer, autor principal del estudio e investigador del CRG y de CIBERDEM.
Explica Ferrer a ABC Salud que estos resultados, «nos da, por primera vez, un punto de ataque molecular concreto en la propia célula β. Si tenemos una lista de partes moleculares que fallan, podemos diseñar fármacos que reparen el fallo interno».
Es decir, subraya, significaría que en lugar de limitarnos a bajar la glucosa en sangre, podremos solucionar el origen del problema a nivel molecular y así restaurar la secreción de insulina
Ahora bien, advierte Ferrer que la diabetes tipo 2 está impulsada por múltiples genes y factores relacionados con el estilo de vida. «Podemos afirmar que este programa defectuoso tiene una contribución causal, pero existen otros fallos moleculares que también deben abordarse. Este es solo un elemento de un rompecabezas mayor que también habrá que resolver».
Multifactorial
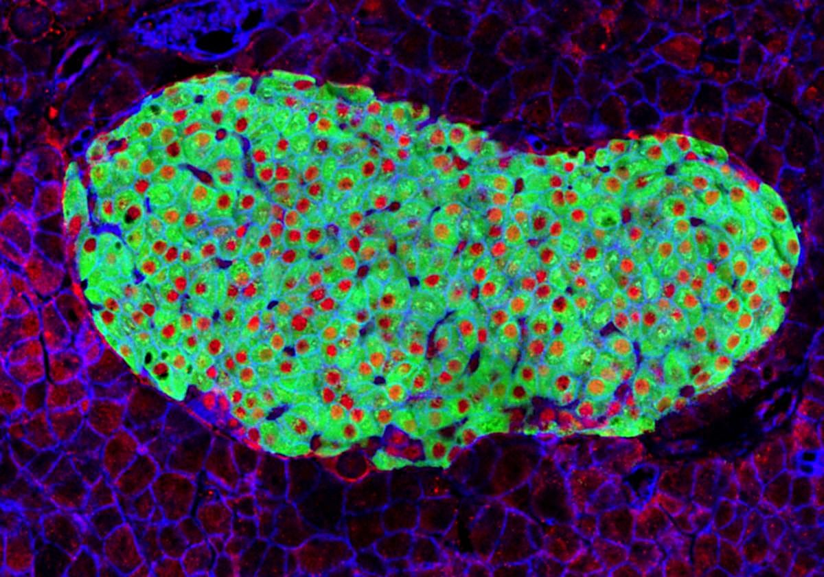
El estudio demuestra que el problema se origina en las células β del páncreas, responsables de producir insulina. En experimentos con ratones, los científicos desactivaron el gen HNF1A en diferentes órganos y tipos celulares. Solo al eliminarlo en las células β se alteraron los niveles de azúcar en sangre.
HNF1A es un factor de transcripción, es decir, regula la actividad de otros genes. Al suprimirlo, más de cien genes en las células β dejan de funcionar correctamente, afectando procesos clave para la producción y liberación de insulina.
Uno de los genes afectados es A1CF, encargado de ensamblar correctamente las moléculas de ARN antes de convertirse en proteínas. Cuando HNF1A falla, A1CF se reduce y provoca miles de errores en el ARN, desorganizando las funciones celulares.
«Cuando HNF1A falla, ocurren dos problemas: muchos genes dejan de funcionar bien y, además, el ARN se ensambla mal. Ambos factores afectan la secreción de insulina», explica Matías Gonzalo De Vas, coautor del estudio.
El análisis de muestras de páncreas humano confirmó estos resultados. En personas sanas, las células β mostraban alta actividad de HNF1A y A1CF, mientras que en personas con diabetes tipo 2, predominaban las células con baja actividad de ambos genes.
«En las personas con diabetes tipo 2, por cada célula β funcional hay unas ocho disfuncionales. En personas sanas, la proporción es de uno a uno. Es un cambio muy fuerte que muestra cómo una sola mutación puede afectar a todo un órgano», señala Edgar Bernardo, también coautor del estudio.
Estos descubrimientos abren nuevas posibilidades terapéuticas tanto para MODY3 (que afecta al 0,03 % de la población) como para la diabetes tipo 2, que hoy padecen unos 600 millones de adultos en el mundo.
Prevenir la diabetes
Así, explica Ferrer que existen precedentes. «Ya se utilizan oligonucleótidos antisentido y pequeñas moléculas para corregir errores de splicing en enfermedades como la atrofia muscular espinal. Adaptar esta tecnología al páncreas es una posibilidad real, aunque todavía se necesitan estudios preclínicos y ensayos clínicos para confirmar su eficacia y seguridad».
Añade este investigador que, en teoría, estos nuevos tratamientos podrían ayudar a prevenir o retrasar la diabetes en personas con riesgo genético. «Si logramos identificar a tiempo a personas portadoras de variantes en HNF1A o A1CF, corregir los errores de splicing podría ayudar a mantener la función de las células β y retrasar o incluso prevenir la aparición de la hiperglucemia. Otra línea de investigación prometedora consiste en actuar directamente sobre HNF1A. Una vez desarrollados los tratamientos, será clave validar su uso preventivo en ensayos clínicos de intervención temprana»
Límite de sesiones alcanzadas
- El acceso al contenido Premium está abierto por cortesía del establecimiento donde te encuentras, pero ahora mismo hay demasiados usuarios conectados a la vez. Por favor, inténtalo pasados unos minutos.
Has superado el límite de sesiones
- Sólo puedes tener tres sesiones iniciadas a la vez. Hemos cerrado la sesión más antigua para que sigas navegando sin límites en el resto.
Esta funcionalidad es sólo para suscriptores
Suscribete
Esta funcionalidad es sólo para registrados
Iniciar sesiónEsta funcionalidad es sólo para suscriptores
Suscribete