El interruptor genético que controla la conversión de grasa mala a buena
Los resultados de una investigación abren oportunidades para el desarrollo nuevos tratamientos para combatir las enfermedades metabólicas, como la diabetes o la obesidad
R.I.
Apagar y encender. Así de sencillo podría ser tratar la obesidad si se demuestra que el papel de TLE3, un interruptor genético que detiene la conversión de la grasa blanca en grasa parda o marrón, lo que permitiría quemar más grasa de forma más eficiente. ... Los resultados se publican en «Genes and Development».
Los investigadores de la Universidad de Utah (EE.UU.) han descubierto una manera de producir más células grasas pardas que queman energía de forma más eficiente. «Sabemos que hay diferentes tipos de células de grasa; TLE3 es una forma de abordar cómo se programan las células de grasa», explica Claudio Villanueva, autor principal del estudio. «Si pudiéramos encontrar formas terapéuticas de inhibir TLE3, podríamos desarrollar intervenciones, por ejemplo, para la diabetes tipo II ».
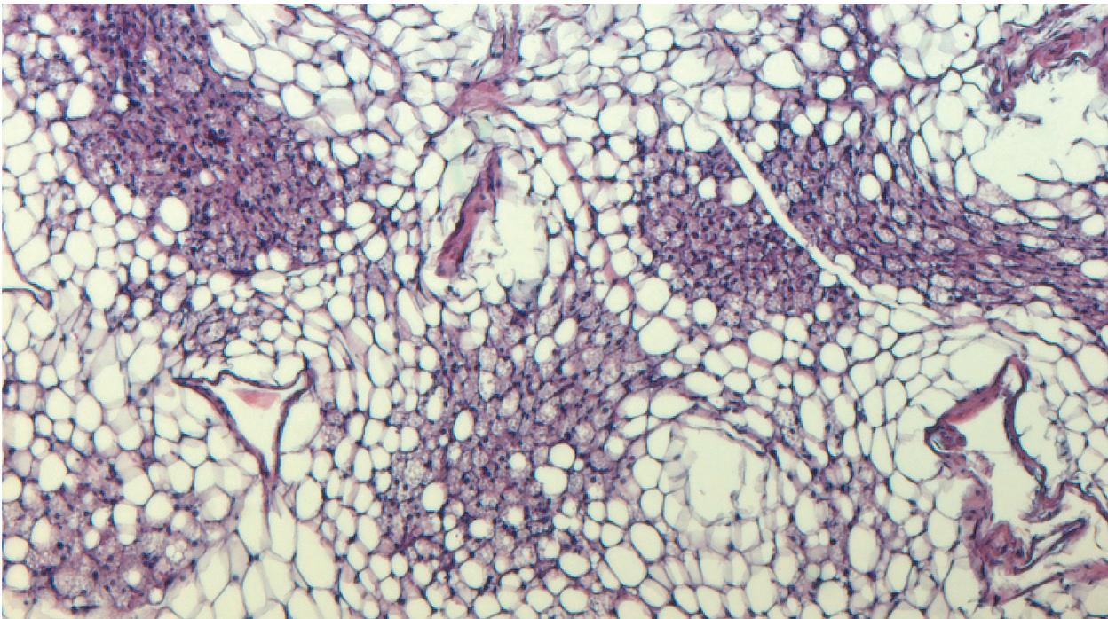
Las células de grasa de tres tipos: la grasa blanca , la más común, es la grasa almacenada asociada con trastornos metabólicos, como la diabetes y la obesidad. Las grasas marrón y parda contienen más mitocondrias, las centrales de energía de la célula, lo que permite que quemen combustible de manera más eficiente. La grasa marrón se activa en condiciones de frío y se quema para generar calor , mientras que la grasa parda se encuentra en racimos dentro de la grasa blanca, aunque se sabe poco sobre sus funciones.
Investigadores de la Universidad de Utah han descubierto una manera de producir más células grasas pardas que queman energía de forma más eficiente
Investigaciones anteriores descubrieron que el tejido graso blanco que sobreexpresa el factor 2 de células B (EFB2) recluta más células de grasa de color beige , pero este gen codificador de proteínas se desencadena por muchos factores. Villanueva y su equipo se centraron en el potenciador 3 (TLE3), una proteína situada en la misma región que EFB2. Así encontraron que TLE3 actúa como un interruptor, impidiendo que EFB2 convierta la grasa blanca a beige y evitando el gasto de energía y el uso de la glucosa.
Los investigadores entonces decidieron actuar sobre este interruptor. Así, eliminaron TLE3 en ratones y sometieron a los animales a condiciones de frío extremo durante varios días. El objetivo, explican, era recrear una situación en la que un animal intentaría desarrollar células de grasa de color beige para interpretar el impacto de la pérdida de TLE3 . En ausencia de este gen, los ratones knock-out reclutaron más células de grasa beige . A continuación, el equipo examinó el impacto de la abundancia de grasa beige en el metabolismo animal.
A largo plazo, queremos identificar o desarrollar medicamentos dirigidos a TLE3 que puedan usarse como una intervención para pacientes con diabetes tipo 2 y obesidad
«Los ratones knock-out experimentaron un mayor gasto de energía en condiciones normales y pérdida de peso en condiciones de frío», afirma Stephanie Pearson, primera autora del artículo. «Incluso sin la estimulación con frío, los ratones knock-out no aumentaron de peso».
Villanueva cree que estos resultados podrían usarse para crear intervenciones para trastornos metabólicos. «A largo plazo, queremos identificar o desarrollar medicamentos dirigidos a TLE3 que puedan usarse como una intervención para pacientes con diabetes tipo 2 y obesidad».
Noticias relacionadas
Esta funcionalidad es sólo para suscriptores
Suscribete
Esta funcionalidad es sólo para registrados
Iniciar sesiónEsta funcionalidad es sólo para suscriptores
Suscribete