Operan a un bebé en México que nació con una cola de casi seis centímetros de largo
Los médicos la extirparon a los dos meses de vida del bebé y comprobaron que había crecido 0,8 centímetros
Un estudio muestra cómo la lactancia materna ofrece beneficios inmunológicos
ABC
México ha registrado el primer caso de un bebé con cola, que se ha procedido a extirpar a los dos meses de vida. Según ha informado 'Journal of Pediatric Surgery Case Reports', que ha estudiado el caso, se trata de una niña a la ... que los médicos no detectaron nada extraño durante el embarazo y cuyos padres y hermano mayor son completamente sanos.
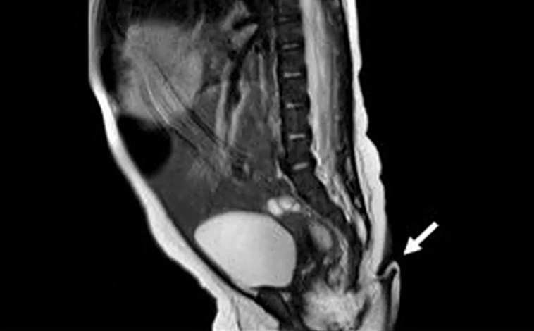
Fue en el momento del nacimiento, durante la cesárea, cuando los médicos advirtieron de este apéndice que medía 5,7 cm de largo y entre 3 y 5 milímetros de diámetro.
De acuerdo con el estudio, el embarazo de la madre no presentó complicaciones, no hubo registro de exposición a radiación o a teratógenos (agentes capaces de causar un defecto congénito), por lo que no hay una explicación a la aparición de esta cola en el bebé.
Conexiones nerviosas
De forma inmediata, se procedió a estudiar la cola, que si bien no hacía movimientos espontáneos, sí experimentaba pequeños movimientos leves sin producir dolor. Los médicos confirmaron que tenía conexiones nerviosas, puesto que al pinchar con una aguja se produjo rápidamente el llanto del recién nacido.
Entre las diferentes pruebas comprobaron también que no había huesos en su interior ni ningún tipo de malformaciones renales, ni del tracto urinario y tampoco irregularidades que afectaran a la médula espinal o el cerebro, por lo que la pequeña era perfectamente sana.
Había crecido casi un centímetro
La operación, en cambio, tuvo que esperar. Al cumplir los dos meses y comprobar que la evolución de la niña era buena, procedieron a extirpar la cola, que durante ese tiempo había crecido 0,8 centímetros. Los análisis posteriores revelaron que la muestra contenía tejido blando, incluyendo tejido fibroadiposo, estructuras vasculares y haces nerviosos, cubiertos por piel, sin alteraciones histopatológicas.
La zona operada fue reconstruida y la evolución de la bebé no tuvo incidencias.
El de esta bebé de México es un caso poco común aunque en la historia se han dado otros casos a nivel mundial que han permitido diferenciar estos apéndices entre pseudocolas o colas verdaderas. Si bien las primeras se refieren a las anomalías del cuerpo por alguna enfermedad como algún tumor, las verdaderas como la citada presentan tejido adiposo, conexiones y músculos, aunque no vértebras.
Esta funcionalidad es sólo para suscriptores
Suscribete
Esta funcionalidad es sólo para registrados
Iniciar sesiónEsta funcionalidad es sólo para suscriptores
Suscribete