Un chip implantado en el ojo permite que 27 personas ciegas vuelvan a leer
El dispositivo intraocular se probó en personas con degeneración macular asociada a la edad, combinado con gafas de realidad aumentada
Carlos Mateo: «Cuando yo era residente, era retina y magia a la vez»
Esta funcionalidad es sólo para registrados
Iniciar sesiónUn diminuto chip inalámbrico implantado en la parte posterior del ojo y unas gafas de alta tecnología han permitido a 27 personas con degeneración macular asociada a la edad (DMAE) volver a leer. El implante ha logrado restaurar parcialmente la visión en estas personas que ... tenían ya una forma avanzada de degeneración macular asociada a la edad que les había dejado sin visión.
De los 32 participantes de un ensayo clínico, 27 recuperaron la capacidad de leer un año después de recibir el dispositivo.
Los resultados del ensayo se publican en la revista 'The New England Journal of Medicine'.
El dispositivo ha sido desarrollado en la Universidad Stanford Medicine (EE.UU.) y sus autores aseguran que se trata de la primera prótesis ocular que restaura la visión funcional a pacientes con pérdida de visión incurable, dándoles la capacidad de percibir formas y patrones, también conocida como visión de la forma.
Carlos Mateo, uno de los mejores oftalmólogos de España: «Cuando yo era residente, era retina y magia a la vez»
Rafael IbarraCarlos Mateo descubrió su vocación por la oftalmología durante su residencia en el Hospital Vall d'Hebrón. Especialista en alta miopía, desprendimiento de retina, trauma ocular, retinopatía diabética y DMAE, ha sido reconocido como uno de los mejores oftalmólogos de España
«Todos los intentos previos de proporcionar visión con prótesis resultaron básicamente en sensibilidad a la luz, no en visión formal», afirma el investigador Daniel Palanker. «Somos los primeros en proporcionar visión formal».
A medida que la DMAE progresa, la visión central se vuelve cada vez más borrosa debido al daño irreversible de las células fotosensibles en la parte central de la retina. En una retina sana, estas células captan la luz ambiental y la transforman en pulsos eléctricos, que luego se envían a las células nerviosas que recubren la parte posterior del ojo y, finalmente, al cerebro a través del nervio óptico.
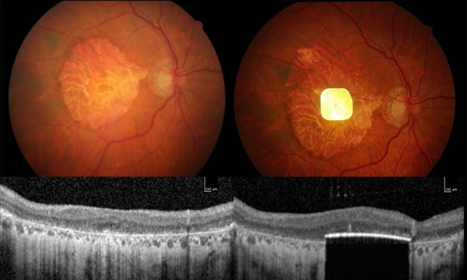
El dispositivo, denominado PRIMA, consiste en una pequeña cámara, montada en unas gafas, que captura imágenes y las proyecta en tiempo real mediante luz infrarroja a un chip inalámbrico en el ojo. El chip convierte las imágenes en estimulación eléctrica, reemplazando eficazmente los fotorreceptores. Además, los pacientes pueden ajustar el zoom y el contraste para mejorar la visión funcional.
Los participantes del nuevo ensayo presentaban una forma avanzada de DMAE, conocida como atrofia geográfica, que erosiona gradualmente la visión central. Más de 5 millones de personas en todo el mundo padecen esta enfermedad, que es la causa más común de ceguera irreversible en la tercera edad.
Luz infrarroja
La degeneración macular destruye los fotorreceptores sensibles a la luz en el centro de la retina, el delgado tejido neural en la parte posterior del ojo que convierte la luz en señales eléctricas que luego viajan al cerebro. Sin embargo, la mayoría de los pacientes conservan algunas células fotorreceptoras que permiten la visión periférica, así como las neuronas retinianas que transmiten la información de los fotorreceptores.
El nuevo dispositivo, explican los investigadores, aprovecha lo que se conserva.
El chip de 2 x 2 milímetros que recibe las imágenes se implanta en la parte de la retina donde se han perdido los fotorreceptores. El chip es sensible a la luz infrarroja proyectada por las gafas, a diferencia de los fotorreceptores reales, que solo responden a la luz visible.
«La proyección se realiza mediante infrarrojos porque queremos asegurarnos de que sea invisible para los fotorreceptores restantes fuera del implante», explica José-Alain Sahel, de la Facultad de Medicina de la Universidad de Pittsburgh.
El diseño significa que los pacientes pueden utilizar su visión periférica natural junto con la visión central protésica, lo que ayuda con la orientación y la navegación.
Los autores destacan que el hecho de que vean simultáneamente visión protésica y periférica es importante porque pueden fusionar y utilizar la visión al máximo. Dado que el chip es fotovoltaico, es decir, solo necesita luz para generar corriente eléctrica, puede funcionar de forma inalámbrica e implantarse bajo la retina. Las prótesis oculares anteriores requerían una fuente de alimentación externa y un cable que salía del ojo.
Leer te transporta, y hoy me siento mucho más optimista
Sheila Irvine
A las cinco semanas tras el implante, los pacientes comenzaron a usar las gafas. La agudeza visual mejoró progresivamente con el entrenamiento: de 32 participantes, 27 lograron leer y 26 mejoraron al menos dos líneas en la tabla optométrica, con un promedio de cinco líneas ganadas. Usaban la prótesis a diario y dos tercios reportaron satisfacción media o alta. Diecinueve tuvieron efectos secundarios leves, resueltos en su mayoría en dos meses.
«Antes del implante, veía como si tuviera dos discos negros en los ojos, con la visión distorsionada alrededor, señala Sheila Irvine, una de las pacientes que participaron en el estudio. A Sheila siempre le gustó leer y, tras la operación, que reconoce que no fue dolorosa, se emocionó al volver a leer. Volver a aprender a leer no es fácil, pero cuanto más practico, más avanzo. Leer te transporta, y hoy me siento mucho más optimista».
Por ahora, el dispositivo PRIMA sólo proporciona visión en blanco y negro, sin matices intermedios, pero ya se está desarrollando un software que pronto permitirá la gama completa de escala de grises.
Esta funcionalidad es sólo para suscriptores
Suscribete
Esta funcionalidad es sólo para registrados
Iniciar sesiónEsta funcionalidad es sólo para suscriptores
Suscribete