Fabrican organoides a partir de biopsias de cáncer de próstata
Permitirán un tratamiento más personalizado del tumor más frecuente entre los varones
E. ORTEGA
Cultivar próstatas artificiales en el laboratorio puede ser una vía muy eficaz para avanzar en el conocimiento del cáncer de próstata, el tumor más frecuente en los varones, y hallar por fin un solución definitiva. Lo acaba de hacer un equipo del Centro de Cáncer Memorial Sloan Kettering ... (EE.UU.), que ha demostrado por vez primera que se pueden fabricar organoides, una especie próstatas de laboratorio, derivados de tumores de cáncer de próstata humano.
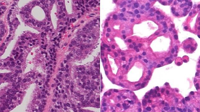
A partir de células tumorales obtenidas mediante biopsias los investigadores han cultivado 7 organoides de cáncer de próstata: 6 de ellos de pacientes con cáncer de próstata metastásico y uno de células tumorales circulantes del paciente. Los organoides son estructuras tridimensionales compuestas por células que se agrupan y organizan espacialmente de la misma forma que lo hace un órgano.
Los investigadores explican en el artículo que se publica en « Cell » que la estructura de los organoides es muy similar a la de las muestras de la metástasis de la que proceden. De hecho, la secuenciación de las muestras de metástasis y los organoides emparejados mostró que cada organoide es genéticamente idéntico al cáncer del paciente a partir del cual se originó.
El más común
Más de 20.000 hombres son diagnosticados cada año en España de cáncer de próstata, por lo que está considerado como la forma más común de cáncer masculino. La mayor probabilidad de sobrevivir a este tipo de cáncer deriva de su detección precoz, ya que cuando se identifica en las primeras fases, hay casi un 100% de posibilidades de curación. Sin embargo, en los casos en los que el tumor se metastatiza y se propaga el tratamiento es menos eficaz.
Por eso, señala el autor del trabajo, Yu Chen, resulta vital identificar «biomarcadores moleculares que indican si un fármaco funciona o por qué un medicamento deja de hacerlo». Y desgraciadamente, añade, «estamos limitados en nuestra capacidad de poner a prueba los medicamentos, sobre todo en el entorno del cáncer de próstata, donde sólo está disponible unas pocas líneas celulares de cáncer de próstata para los investigadores», lamenta.
A pesar de su prevalencia, el cáncer de próstata ha sido difícil de reproducir en el laboratorio y muchas mutaciones que juegan un papel en su crecimiento no están representadas en las líneas celulares disponibles. Además, éstas pueden diferir de su fuente original y como están compuestas de células individuales no ofrecen la información sólida que aporta un organoide, que se asemeja más a un órgano vivo.
Tratamiento personalizado
La incorporación de estos 7 organoides de cáncer de próstata supone por ello un gran avance: gracias a ellas el equipo de Chen ha duplicado el número de líneas celulares de cáncer de próstata existentes. «Ahora tenemos un nuevo recurso a nuestra disposición que captura la diversidad molecular del cáncer de próstata. Sin duda será una herramienta valiosa para determinar la sensibilidad de los fármacos», asegura.
Según explica Chen los organoides se pueden utilizar para probar varios medicamentos al mismo tiempo. En el futuro, afirma, es posible que se puedan probar los fármacos en organoides de un paciente antes de administrarse al paciente para personalizar realmente el tratamiento.
Fabrican organoides a partir de biopsias de cáncer de próstata
Esta funcionalidad es sólo para suscriptores
Suscribete
Esta funcionalidad es sólo para registrados
Iniciar sesiónEsta funcionalidad es sólo para suscriptores
Suscribete