El cambio de hábitos puede ralentizar el envejecimiento cerebral
Una nueva investigación desvela la relación entre la edad biológica y el envejecimiento cerebral
ABC Salud
Madrid
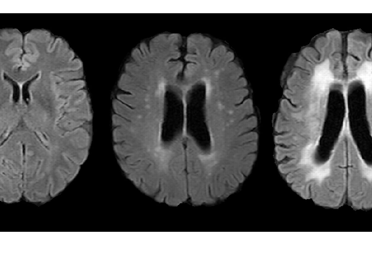
Un estudio del Grupo de investigación Neurovascular del Instituto Hospital del Mar de Investigaciones Médicas, que publica la revista «Biology», ha permitido asociar por primera vez una edad biológica más avanzada con la presencia de un indicador de envejecimiento del cerebro, las hiperintensidades ... de la sustancia blanca, áreas del cerebro donde la sangre llega con más dificultad.
Los hábitos de vida influyen en la configuración del ADN y determinarán la edad biológica. Si se modifican estos hábitos, se puede ralentizar el envejecimiento del ADN y, por lo tanto, la edad biológica, ralentizando así el incremento de hiperintensidades de sustancia blanca en el tejido cerebral.
Se trata de áreas del cerebro que aparecen de forma diferente en imágenes de resonancia magnética y que indican que es un tejido donde la sangre llega con más dificultad.
Investigadores españoles desvelan el doble papel del gen p53
S. M.Mutaciones en el Guardián del Genoma, el gen p53, contribuyen no solo al desarrollo de algunos cánceres, sino también a la enfermedad cardiovascular
«Una buena parte del efecto del paso de los años sobre nuestro cerebro no viene solo dado por la edad cronológica, la que tenemos por nuestra fecha de nacimiento, sino por la edad biológica, que explica muchas otras cosas que no solo la cronológica», apunta el Jordi Jiménez-Conde, coordinador del grupo de investigación, médico adjunto del Servicio de Neurología del Hospital del Mar y autor del trabajo.
El estudio abre la puerta a disponer de nuevas herramientas para mejorar el pronóstico y el seguimiento de los pacientes, permitiendo así identificar con un análisis de sangre qué individuos tendrán una mayor tendencia a presentar un envejecimiento cerebral acelerado.
La edad biológica que se puede medir en análisis específicas de la sangre, viene marcada por nuestros hábitos de vida
Los investigadores han trabajado con datos de 247 pacientes que habían sufrido un ictus y a los cuales se realizó una resonancia magnética que permitió establecer el volumen de hiperintensidades de la sustancia blanca en sus cerebros. Por otra parte, la edad biológica se determinó en muestras de sangre, mediante el análisis del grado de metilación de su ADN, el cual se modifica en función de factores externos, como los hábitos de vida. De esta manera, se pudo demostrar por primera vez como «la edad biológica, el envejecimiento del cuerpo, tiene una asociación directa con el envejecimiento cerebral de forma independiente de la edad cronológica», explica el Jiménez Conde.
De hecho, la edad biológica explicaría el 42,7% del envejecimiento cerebral medido por la presencia de hiperintensidades de la sustancia blanca. Como detalla Joan Jiménez-Balado, investigador postdoctoral del Grupo de investigación Neurovascular del IMIM-Hospital del Mar y autor del estudio, «hay que seguir estudiando el efecto que tiene la genética sobre estas lesiones del cerebro, ya que puede ayudarnos a entender mejor los mecanismos biológicos que participan en el envejecimiento cerebral. De la misma manera, será muy interesante en futuros estudios utilizar las nuevas aproximaciones informáticas que nos permiten clasificar las hiperintensidades de la sustancia blanca en función de aspectos como su localización y ver si, por ejemplo, sucede que estamos considerando estas lesiones como un todo cuando en realidad se asocian a ellas causas diferentes en función del espacio que ocupan».
En este sentido, una presencia elevada de hiperintensidad de la sustancia blanca se asocia a diversas patologías, como el deterioro cognitivo inespecífico, alteraciones de la marcha y un peor pronóstico en la capacidad de recuperación del cerebro ante cualquier patología que le afecte. Su volumen se incrementa con la edad y no es reversible. Pero sí que se podría actuar sobre la edad biológica y frenar el envejecimiento del ADN con cambios en nuestros hábitos de vida, hecho que puede repercutir en la ralentización en el incremento de estas lesiones en el tejido cerebral con una desaceleración del envejecimiento del cerebro.
Esta funcionalidad es sólo para suscriptores
Suscribete
Esta funcionalidad es sólo para registrados
Iniciar sesiónEsta funcionalidad es sólo para suscriptores
Suscribete