Las autopsias muestran que el Covid-19 se propaga por todo el cuerpo
Antes del trabajo, el pensamiento era que el SARS-CoV-2 era predominantemente un virus respiratorio
R.I.
Madrid
El virus que causa el Covid-19, el coronavirus SASR-CoV-2, se propaga por todo el organismo. Un estudio que analizó las muestras de tejido de 44 autopsias de personas que murieron con Covid-19 muestra que el virus SAR-CoV-2 se propagó ... por todo el cuerpo -incluido el cerebro- y que permaneció durante casi ocho meses. El hallazgo se publicó en Nature.
Científicos de los Institutos Nacionales de Salud (NIH) analizaron muestras de autopsias realizadas entre abril de 2020 y marzo de 2021. Realizaron un amplio muestreo del sistema nervioso, incluido el cerebro, en 11 de los pacientes.
Todos los pacientes murieron con Covid-19 y ninguno estaba vacunado. El plasma sanguíneo de 38 pacientes dio positivo para el SARS-CoV-2, tres dieron negativo y no se disponía de plasma para los otros 3.
Las mejores investigaciones de 2022 en biomedicina y salud
R. I.La web de salud MedicalXpress recopila los principales avances de 2022 en el campo de la biomedicina y la salud
El 30% de los pacientes eran mujeres y la mediana de edad era de 62,5 años. Veintisiete pacientes (61,4%) tenían tres o más comorbilidades. El intervalo medio desde el inicio de los síntomas hasta la muerte fue de 18,5 días.
Los análisis mostraron que el SARS-CoV-2, como era de esperar, infectaba y dañaba principalmente las vías respiratorias y el tejido pulmonar.
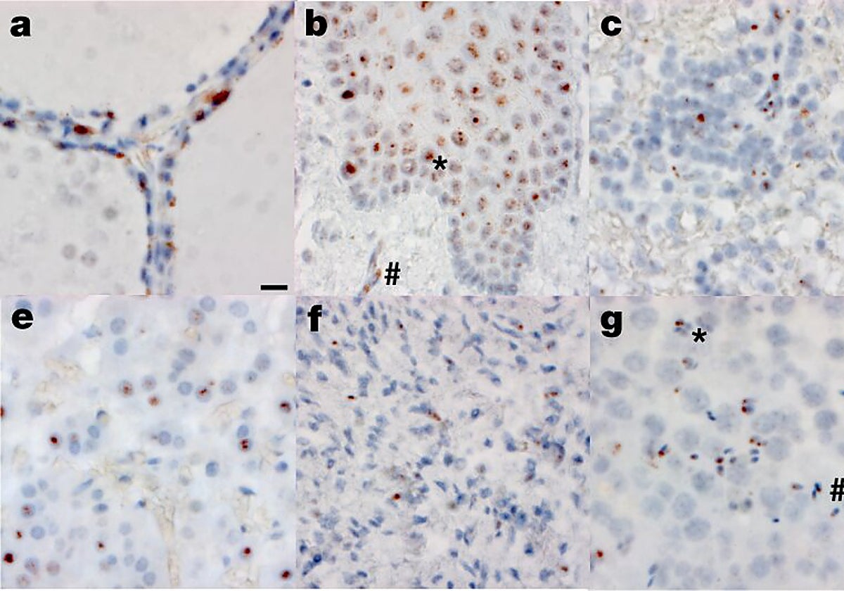
Pero los investigadores también encontraron ARN viral en 84 localizaciones corporales y fluidos corporales distintos, y en un caso aislaron ARN viral 230 días después del inicio de los síntomas de un paciente.
Los investigadores detectaron ARN y proteínas del SRAS-CoV-2 en el hipotálamo y el cerebelo de un paciente y en la médula espinal y los ganglios basales de otros dos. Pero hallaron pocos daños en el tejido cerebral, «a pesar de la importante carga vírica».
Los expertos también aislaron virus viables del SRAS-CoV-2 en diversos tejidos dentro y fuera de las vías respiratorias, como el cerebro, el corazón, los ganglios linfáticos, el tracto gastrointestinal, la glándula suprarrenal y el ojo. Aislaron el virus en 25 de las 55 muestras analizadas (45%).
Los autores escriben: «Demostramos la replicación del virus en múltiples sitios no respiratorios durante las dos primeras semanas tras el inicio de los síntomas».
Descubrir la presencia del virus en todo el organismo ayudó a explorar una relación entre los tejidos corporales ampliamente infectados y el «Covid persistente»
El autor principal del estudio, Daniel Chertow, afirmó en un comunicado de prensa que, antes del trabajo, «el pensamiento era que el SARS-CoV-2 era predominantemente un virus respiratorio».
Descubrir la presencia del virus en todo el organismo -y compartir esos hallazgos con sus colegas hace un año- ayudó a los científicos a explorar una relación entre los tejidos corporales ampliamente infectados y el «Covid persistente», o síntomas que permanecen durante semanas y meses tras la infección.
Esta funcionalidad es sólo para suscriptores
Suscribete
Esta funcionalidad es sólo para registrados
Iniciar sesiónEsta funcionalidad es sólo para suscriptores
Suscribete