Los extraños daños que provoca el coronavirus en el cerebro

Un artículo de revisión ha reunido decenas de investigaciones que recogen estas patologías: la COVID-19 puede causar encefalitis, ictus, confusión, delirios, nauseas o dificultades de concentración

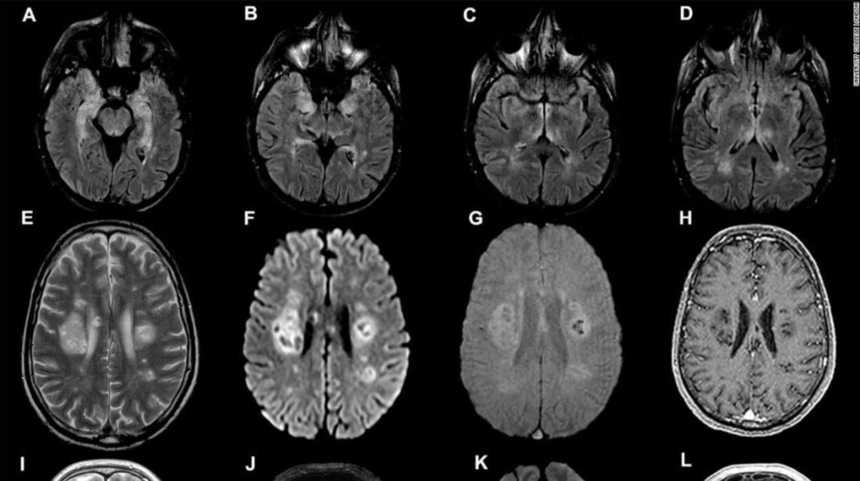
Varios escaneos cerebrales de distintas patologías en un estudio publicado en julio University College of London / Vídeo: El coronavirus puede provocar un mal funcionamiento del cerebro

ABC Ciencia

El SARS-CoV-2 no es solo un virus respiratorio . Desde que comenzó la pandemia se ha observado que también ataca los riñones, los ojos, el hígado, los vasos sanguíneos, el intestino, el hígado y, finalmente, el cerebro, causando muy extraños y preocupantes síntomas ... neurológicos, que todavía son difíciles de explicar.

Por ejemplo, se ha descrito la pérdida del gusto y del olfato, ictus o encefalitis . Algunos pacientes sufren confusión, delirios o nauseas y encuentran difícil concentrarse. Ahora, un estudio publicado en « Seizure: European Journal of Epilepsy », ha recopilado decenas de investigaciones sobre cómo el virus afecta al cerebro, y cuyos efectos se pueden medir por medio de electroencefalografía (EEG), una técnica que registra la actividad eléctrica de varias partes del cerebro, por medio de una serie de electrodos fijados en el cráneo.

Los investigadores han aglutinado 84 estudios en los que se estudió a un total de 620 pacientes por medio de electroencefalografías. Tal como han repasado los investigadoers, esta técnica permitió identificar diversos signos de daños en el cerebro.

La mayoría, hombres

Alrededor de dos tercios de estos pacientes son hombres, con una edad media de 61 años. Más del 60% de ellos experimentaban algún tipo de delirio, coma o confusión; en algunos casos, ya tenían demencia antes de infectarse de COVID-19. El 30 por ciento de ellos experimentó un evento similar a un ictus, desarrolló problemas de habla o bien sufrió un infarto que afectó al riego de su cerebro.

Los electroencefalogramas mostraron un amplio espectro de anormalidades en el cerebro, como patrones rítmicos de actividad que recuerdan a los que se manifiestan en pesonas epilépticas. La anormalidad más común fue un ralentizamiento de las ondas cerebrales, que se suele asociar con un mal funcionamiento general del cerebro.

Los investigadores creen que en el caso de la COVID-19 este mal funcionamiento general puede producirse como resultado de una inflamación extensa del cerebro , o como consecuencia de una caída del riego sanguíneo, a causa del debilitamiento de los pulmones y del corazón.

El lóbulo frontal, más afectado

Una tercera parte de las anormalidades registradas se encontró en el lóbulo frontal, la parte del cerebro encargada de tareas ejecutivas, como el razonamiento lógico y la toma de decisones . Este lóbulo frontal también regula las emociones y el comportamiento y está implicado en el aprendizaje y la atención.

«Estos resultados nos indican que necesitamos usar el EEG con un mayor rango de pacientes, así como otro tipo de técnicas de imagen, para poder examinar más de cerca el lóbulo frontal», ha dicho en un comunicado Zulfi Haneef , coautor del trabajo e investigador en el Colegio de Medicina Baylor, en Houston, Estados Unidos.

De esta forma, cree que se podría diagnosticar más fácilmente las complicaciones de la COVID-19 y registrar las secuelas más duraderas de la enfermedad .

Aunque se desconoce qué proporción de personas exprimenta este tipo de complicaciones, tanto por la COVID-19 como por otras causas, los autores creen que todas estas evidencias apuntan en la dirección de que el nuevo coronavirus tiene un impacto severo en la salud neurológica, y reafirman lo que ya se sospechaba: que el virus puede causar secuelas a largo plazo en el cerebro.

Artículo solo para suscriptores

Accede sin límites al mejor periodismo

Tres meses 1 Al mes Sin permanencia Suscribirme ahora
Opción recomendada Un año al 50% Ahorra 60€ Descuento anual Suscribirme ahora

Ver comentarios