Descubren bajo la superficie terrestre organismos que no han cambiado en 175 millones de años
Se trata de una rara clase de bacterias que ya estaba presente antes de la fragmentación del supercontinente Pangea
Esta funcionalidad es sólo para registrados
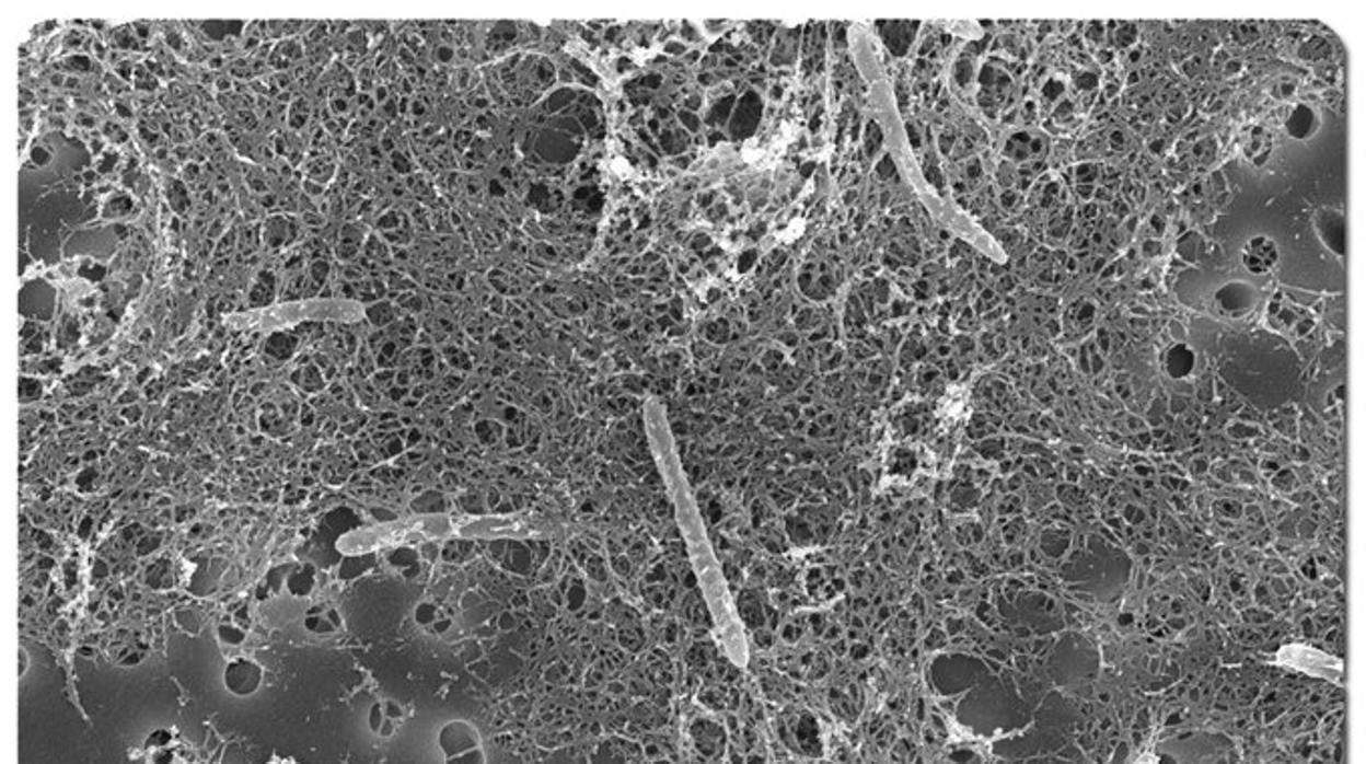
Iniciar sesiónUn equipo internacional de dieciséis investigadores coordinados por el Laboratorio Bigelow de Ciencias Oceánicas de los Estados Unidos acaba de hacer público el estudio detallado de uno de los seres vivos más extraños de la Tierra, una bacteria de forma cilíndrica que, según los científicos, ... no ha evolucionado desde hace por lo menos 175 millones de años. Se trata, pues, de un auténtico fósil viviente que vive bajo la superficie terrestre y que se alimenta de radiactividad. Los impresionantes hallazgos sobre esta criatura se acaban de publicar en ISME Journal.
Descubierto por primera vez hace años a 3.000 metros de profundidad en una mina de oro sudafricana, la bacteria, llamada Candidatus Desulforudis audaxviator , vive en bolsas de agua caliente muy por debajo de la superficie, y obtiene toda la energía que necesita de la desintegración radiactiva del uranio contenido en las rocas que le rodean.
Se trata del primer y hasta ahora único ecosistema conocido formado por una única especie, lo cual implica que, lejos de la luz solar y de cualquier otro organismo, tiene por fuerza que obtener su sustento de un ambiente completamente muerto . D. audaxviator es tan raro que incluso llegó a aparecer en el libro 'Guinness de los Récords'.
En su estudio, los investigadores tratan de comprender cómo esta bacteria ha conseguido sobrevivir durante tanto tiempo y en un entorno tan aislado. Durante su trabajo, descubrieron otras poblaciones de la misma bacteria en Siberia y California, dos ambientes muy diferentes a Sudáfrica y que el equipo esperaba que serían de ayuda para establecer las diferencias entre las varias poblaciones a medida que se adaptan a sus respectivos entornos.
«Pensamos en los microbios como si fueran habitantes de islas aisladas -explica Ramunas Stepanauskas, uno de los autores del artículo- , como los pinzones que Darwin estudió en las Galápagos».
Pero no fue así. Y al examinar los genomas de 126 microbios de tres continentes diferentes, resultaron ser casi idénticos . Los científicos descartaron que se hubiera producido una contaminación cruzada entre las tres poblaciones. De hecho, no encontraron evidencia alguna de que las bacterias pudieran haber viajado largas distancias, ya que es muy poco probable que consigan sobrevivir en la superficie o en presencia de oxígeno.
Habitantes de Pangea
«La mejor explicación que tenemos hasta el momento -dice Stepanauskas- es que estos organismos prácticamente no cambiaron desde que sus ubicaciones físicas se separaron durante la desintegración del supercontinente Pangea, hace unos 175 millones de años. Parece que se trata de fósiles vivientes de aquellos días lejanos».
La mayor parte de las bacterias conocidas, como E.coli , muestran una capacidad increíblemente rápida para adaptarse a los cambios ambientales. Pero el estudio sugiere que no todos los microorganismos evolucionan al mismo ritmo.
«Este descubrimiento -dice por su parte Eric Becrft, otro de los autores del trabajo- indica que debemos tener cuidado al hacer suposiciones sobre la velocidad de la evolución y cómo interpretamos el árbol de la vida. Es posible que algunos organismos entren en una carrera evolutiva completa, mientras que otros se ralentizan, haciendo difícil establecer líneas de tiempo moleculares fiables».
Pero, ¿cómo ralentiza D. audaxviator su propia evolución? Los investigadores sugieren que estos microbios podrían poseer un sistema de protección contra mutaciones , bloqueando de alguna forma su propio código genético. Las mutaciones son «defectos de copia» que ocurren durante la replicación del ADN. Las copias, en efecto, a menudo muestran diferencias con sus modelos (así es como los organismos pueden evolucionar), y se realizan por medio de unas enzimas llamadas ADN polimerasas, ampliamente utilizadas en aplicaciones de biotecnología. Si D. audaxviator dispone de ADN polimerasas tan extremadamente precisas que prácticamente no cometen errores, el hallazgo podría resultar extremadamente útil para la biotecnología.
«Estas enzimas -subraya Stepanauskas- pueden ser muy útiles para la secuenciación del ADN, las pruebas de diagnóstico y la terapia génica».
El estudio también da un gran paso adelante en la investigación de organismos del subsuelo profundo, prácticamente desconocidos hasta hace 30 años, pero que actualmente se piensa que suponen hasta un 10% de la biomasa total del planeta.
Límite de sesiones alcanzadas
- El acceso al contenido Premium está abierto por cortesía del establecimiento donde te encuentras, pero ahora mismo hay demasiados usuarios conectados a la vez. Por favor, inténtalo pasados unos minutos.
Has superado el límite de sesiones
- Sólo puedes tener tres sesiones iniciadas a la vez. Hemos cerrado la sesión más antigua para que sigas navegando sin límites en el resto.
Esta funcionalidad es sólo para suscriptores
Suscribete
Esta funcionalidad es sólo para registrados
Iniciar sesiónEsta funcionalidad es sólo para suscriptores
Suscribete