¿Por qué hay bacterias intestinales dentro del cerebro humano?
Los científicos siguen trabajando en las conclusiones de un estudio preliminar presentado hace un mes y que sugirió la existencia de un «microbioma cerebral», beneficioso o inocuo para la salud
Esta funcionalidad es sólo para registrados
Iniciar sesiónEl cerebro siempre se ha considerado como un entorno estéril. Está protegido por la barrera hematoencefálica, un conjunto de «filtros» situados en los vasos sanguíneos que evitan la entrada de patógenos, toxinas y otras moléculas. Pero, recientemente, un grupo de investigadores de la Universidad de Alabama en Birmingham ... (EE.UU.) examinaba muestras de cerebros cuando encontró por casualidad unas formas alargadas en su interior . Las posteriores observaciones mostraron que esos puntos son bacterias que pertenecen a tres grupos de microbios que se suelen encontrar en el intestino. Por ahora, las investigaciones no permiten descartar que dichas bacterias entraran en las células cerebrales a causa de una contaminación, pero sugieren que podría haber bacterias intestinales viviendo dentro del cerebro de personas sanas.
Este hallazgo, realizado por un pequeño equipo de investigadoras dirigido por Rosalinda Roberts, fue presentado el mes pasado en el congreso anual de la Sociedad de Neurociencia , en Estados Unidos, y revelado por Sciencemagazine . Ha despertado el interés de los investigadores porque sugiere que esos microbios podrían ser inocuos o incluso beneficiosos para el organismo . De confirmarse, «serían un cambio de paradigma en la forma como pensamos sobre el cerebro», según ha dicho Roberts a ABC.
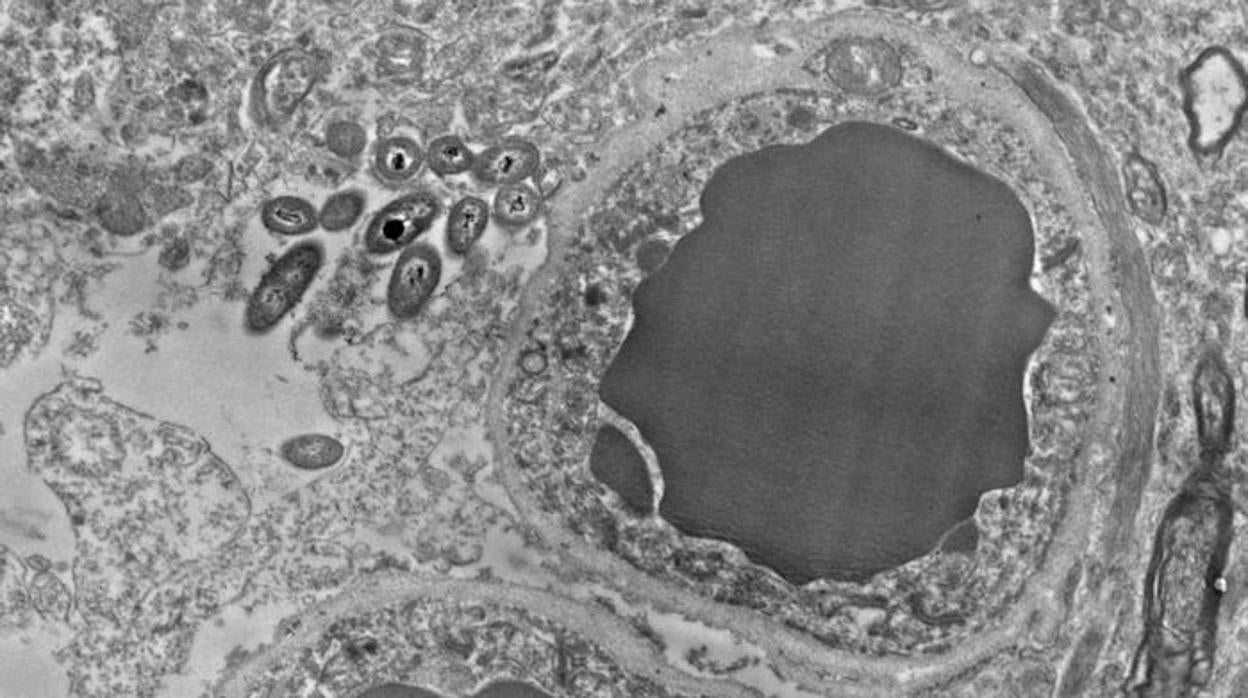
El decubrimiento fue totalmente accidental o, tal como ha recordado la investigadora, toda una serendipia. Junto a ella, las científicas Courtney Walker y Charlene Farmer trabajaban con muestras de cerebro extraídas de 34 personas fallecidas solo unas horas antes. Su objetivo era comparar los cerebros de enfermos de esquizofrenia con los de personas no afectadas por esta dolencia. Las fotografías de microscopía electrónica, en las que se extraen pequeñas láminas de tejido que se fijan a través de complejas técnicas, revelaron la presencia de corpúsculos dentro de ciertas células y en zonas concretas de estas.
Bacterias selectivas
«Encontramos las bacterias predominantemente en dos o tres lugares», ha explicado Roberts. En concreto, en los pies de los astrocitos, en la barrera hematoencefálica y junto a axones mielinizados. Además, la presencia de los microbios varió en cada región cerebral. En general, resultaron ser más abundantes en la sustancia negra (implicada en movimiento de ojos, planificación de movimientos, aprendizaje y adicción), el hipocampo (memoria, entre otros procesos) y el córtex prefrontal (pensamiento, memoria a corto plazo, atención), y más escasas en el cuerpo estriado (función motora, recompensa, etc).
Estas científicas quisieron descartar que las bacterias hubieran llegado al cerebro después de la muerte, como por ejemplo a causa de una contaminación, así que buscaron estos microbios en 10 ratones sanos. Extrajeron los tejidos justo después de la muerte de estos animales y, ¿qué encontraron? Más bacterias. A continuación, analizaron los cerebros de cuatro ratones desprovistos de microbios, criados expresamente para nacer en ausencia de bacterias. En este caso, encontraron tejidos totalmente limpios de microorganismos, lo que apunta a que no es la técnica de extracción la que introdujo las bacterias.
Además, y según ha detallado Rosalinda Roberts, en los ratones, pero no en los humanos, observaron bacterias dentro de los de los núcleos de las neuronas . También las vieron en las cercanías de los axones mielinizados.
¿Microbios de la microbiota intestinal?
Lo próximo que hicieron fue identificar a las bacterias halladas en el cerebro. Los análisis de genomas revelaron que el 92 por ciento de dichas bacterias pertenecen a 3 grandes grupos o fila , que se corresponden con bacterias intestinales pero también con los tipos más frecuentes de estos microorganismos: Firmicutes , Proteobacterias y Bacteroidetes .
El hecho de que hayan encontrado bacterias solo en ciertas zonas específicas de las profundidades de las células sugiere que estas no llegan a sus posiciones por azar. Como tampoco hay señales de inflamación en los cerebros, lo que se esperaría si estos fueran patógenos, también hace pensar que no están atacando.
«Las bacterias podrían entrar en el cerebro bajo circunstancias que no impliquen lesiones o infecciones»
«Las bacterias podrían entrar en el cerebro bajo circunstancias que no impliquen lesiones o infecciones y que podrían tener preferencias muy selectivas sobre el lugar donde viven en el cerebro», ha constatado Roberts.
Entonces, ¿qué podrían estar haciendo estos microbios si, efectivamente, vivieran en el interior del cerebro? ¿Podrían ser importantes para las funciones celulares, la enfermedad y la respuesta inmune? «Si vivieran ahí, la respuesta es sí», ha dicho la investigadora. « La ausencia de inflamación sugiere que son comensales o mutualistas , o bien que llegan tras la muerte a causa de una contaminación».
La posibilidad de una contaminación
En el caso de que se tratase de una contaminación, según Roberts « los hallazgos son todavía interesantes porque las bacterias se localizan en lugares específicos y no sencillamente en cualquier parte». Es decir, esta opción también abriría curiosos interrogantes: ¿Por qué las bacterias invaden un ambiente hostil (compuesto por glutaraldehído), que se usa como agente antibacteriano en la conservación de las muestras de cerebro? ¿Qué tienen de especial los astrocitos y la mielina para ser invadidos mientras que otras células no reciben la «visita» de estos microbios? ¿Por qué invaden los núcleos de las neuronas de los ratones pero no de los humanos?
La comunidad científica ha constatado que la microbiota del intestino humano tiene un papel crucial para evitar la entrada de patógenos, regular el sistema inmunológico y absorber nutrientes. Recientemente, se ha comenzado a observar que el microbioma intestinal parece influir en el funcionamiento del cerebro , en el comportamiento y en la aparición de enfermedad , a través de mecanismos desconocidos. Se ha sugerido que puede ser gracias a la producción de hormonas o neurotransmisores, o quizás a través de algún mecanismos de comunicación, vía nervios o vasos sanguíneos. ¿Es lo hallado por estos científicos un primer indicio de esto?
Próximos pasos
Rosalinda Roberts ha explicado que a continuación tratarán de repetir los hallazgos centrándose en la esterilidad de las técnicas, con la finalidad de confirmar si estas bacterias proceden de una contaminación o no. Además, harán nuevos análisis para averiguar cuántas bacterias hay en los tejidos y si están vivas y, más adelante, cuántas hay en cada región en personas afectadas de varias dolencias. Para saber cómo podrían llegar hasta ahí, Roberts ha dicho que examinará potenciales rutas de entrada, como el nervio olfativo, el nervio vago y el área postrema.
Otros investigadores ya han manifestado su interés en estas observaciones. Por el momento, un grupo ha obtenido una confirmación independiente en tejidos extraídos en cirugía. El reto será, según Roberts, investigar en este campo teniendo en cuenta que hay pocos microscopistas electrónicos que puedan trabajar con este tipo de muestras, y el propio hecho de que sea necesario hacer las preparaciones tan solo ocho horas después de la muerte.
El esfuerzo podría merecer la pena. Si no es una peculiar contaminación, los científicos podrían haber encontrado un filón para estudiar la evolución, el funcionamiento y las enfermedades del cerebro.
Esta funcionalidad es sólo para suscriptores
Suscribete
Esta funcionalidad es sólo para registrados
Iniciar sesiónEsta funcionalidad es sólo para suscriptores
Suscribete